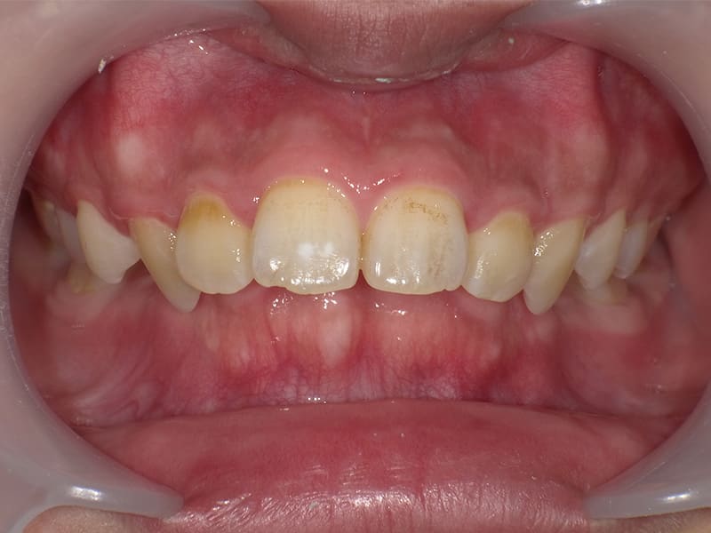
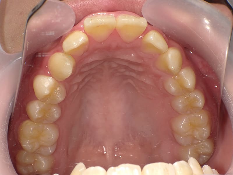
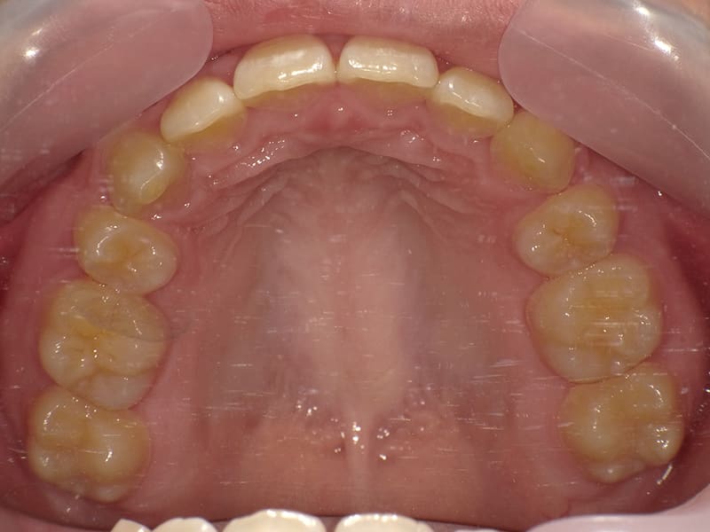
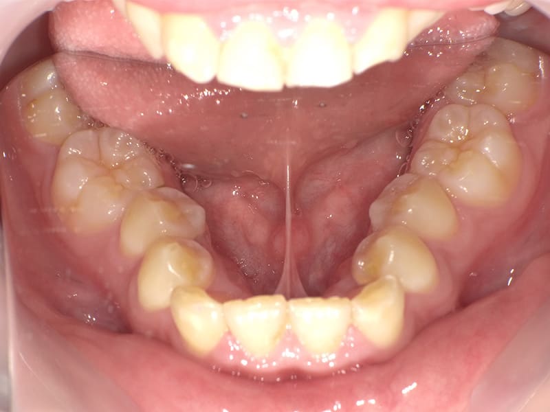
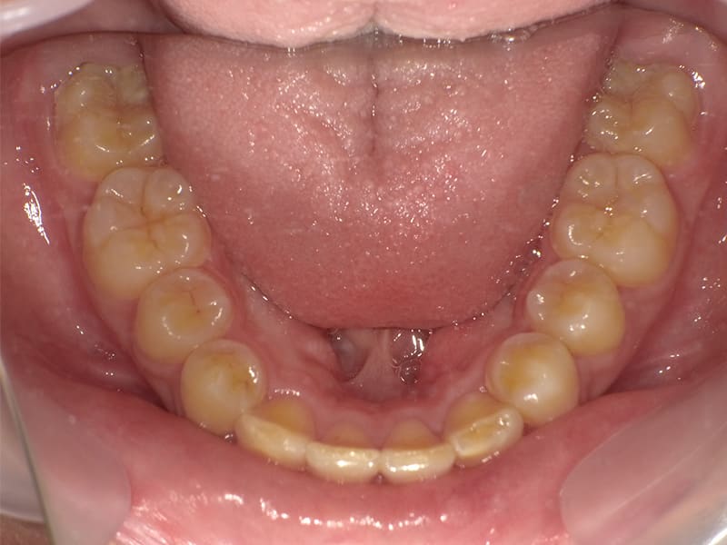
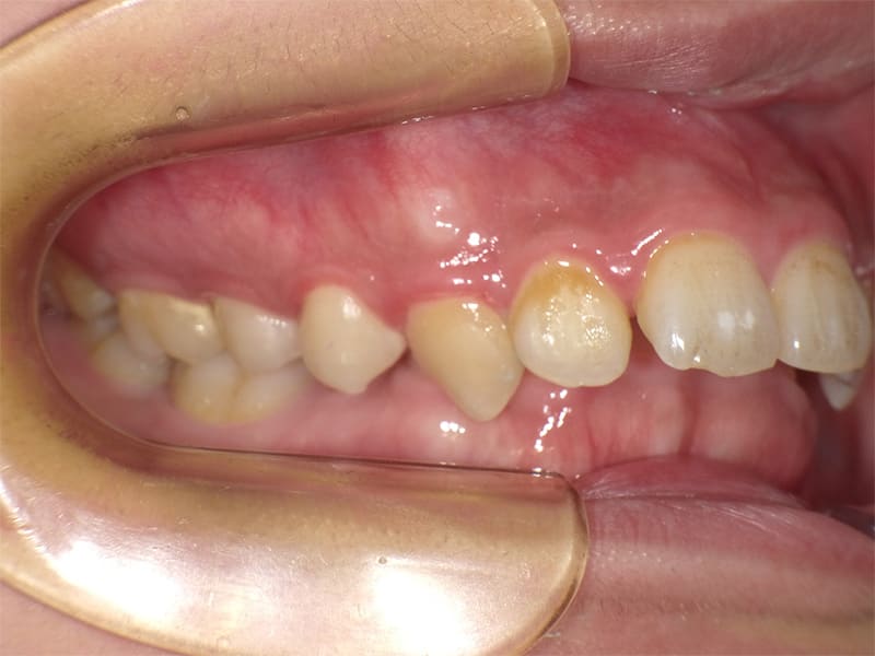
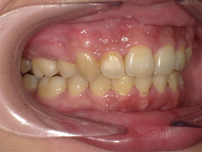
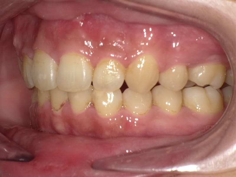
症例 No.02220代 / 上の歯が出ていて、かみ合わせが深い
Before

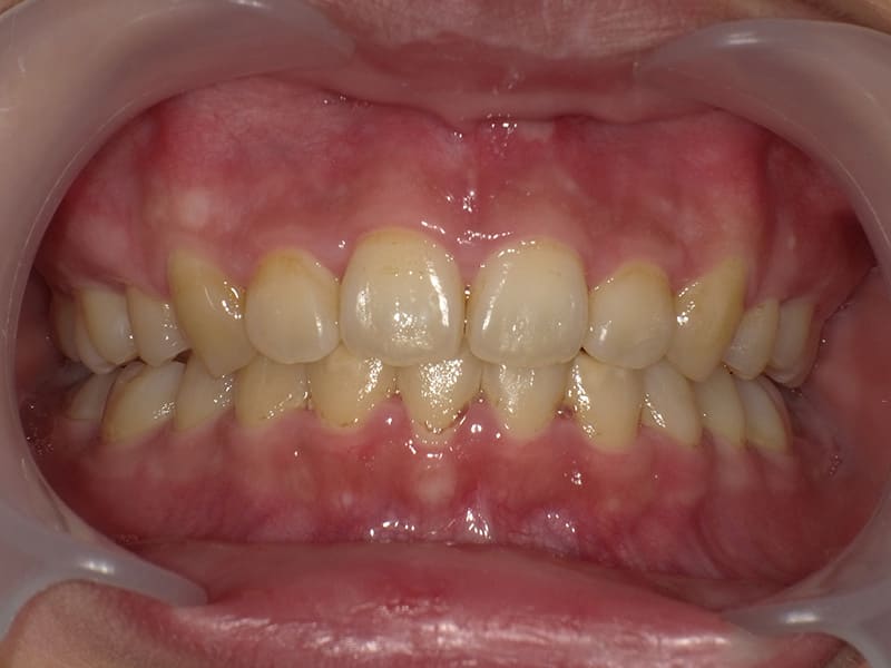
After

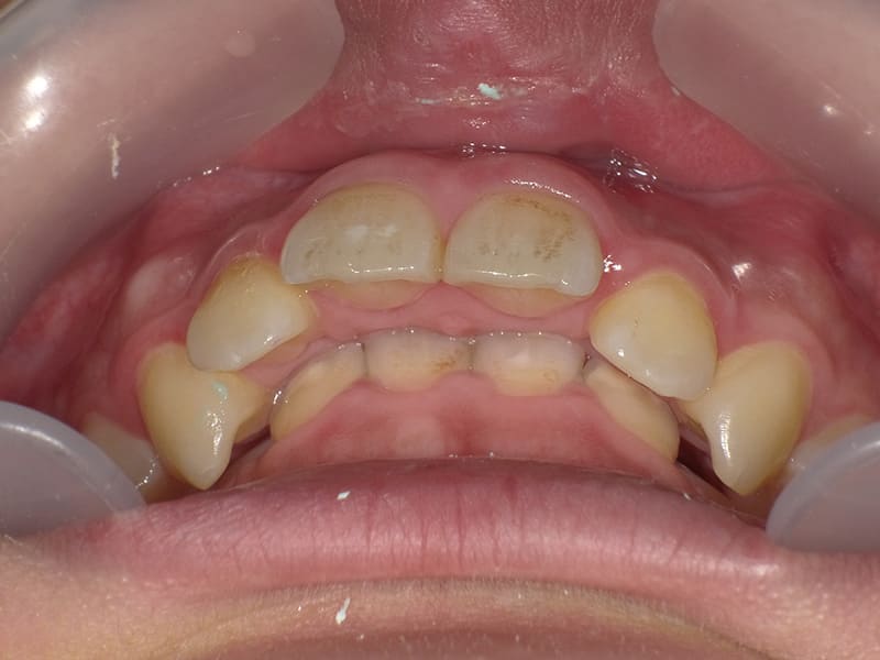
Before

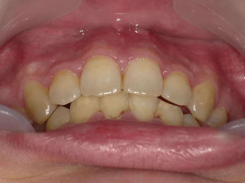
After

Before

After

Before

After

Before

After

Before

After

※治療結果は、患者様によって個人差があります。
| 主な症状 | Ⅱ級過蓋咬合 |
| 年代 | 20代 |
| 矯正装置 | 表側ワイヤー |
| 動的治療期間 | 当初予定:36-48ヶ月、実際の期間:42ヶ月 |
| 抜歯の有無 | なし |
| 費用 | 891,000円 税込 (精密検査・診断料 38,500円 税込、矯正費用852,500円 税込) ※治療当時の費用 |
| 想定リスク等 | 出っ歯の過蓋咬合は嚙み合わせが深く、上の前歯を内に入れる時に下の前歯にあたってしまうので、咬み合わせを上げる必要があり、難しい治療となることが想定されました。 その他、矯正治療全般に共通する代表的な虫歯、歯周病、歯根吸収、後戻りなどのリスクがあります。 |

ドクターコメント
咬合せを上げるのが非常に困難なことが多いのですが、順調に治療が進み、とても良い結果となりました。ご本人もかなり満足してくださいました。
江口矯正歯科クリニック
歯科医師 / 江口 公人
江口矯正歯科クリニックの
無料初診相談を
ご利用ください。
ご自身の歯並びや矯正治療に関する
疑問や不安を解消する場として
お気軽にご活用ください。

