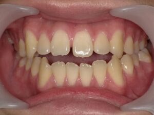
症例 No.022

20代 / 上の歯が出ていて、かみ合わせが深い
不正咬合の種類
過蓋咬合(ディープバイト)
矯正装置
表側ワイヤー
大人 / 子ども
大人の矯正
続きを読む

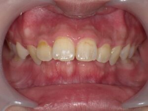
症例 No.021

20代 / 開咬
不正咬合の種類
開咬(オープンバイト)
矯正装置
インビザライン
大人 / 子ども
大人の矯正
続きを読む

症例 No.020

30代 / 出っ歯・下顎骨左右非対称右側変位
不正咬合の種類
上顎前突(出っ歯)
矯正装置
インビザライン
大人 / 子ども
大人の矯正
続きを読む

症例 No.019

30代 / 上の八重歯と下の前歯のガタガタ
不正咬合の種類
叢生(乱ぐい歯・八重歯)
矯正装置
インビザライン表側ワイヤー
大人 / 子ども
大人の矯正
続きを読む

症例 No.018

10代 / 前歯部の開口
不正咬合の種類
開咬(オープンバイト)
矯正装置
インビザライン
大人 / 子ども
大人の矯正
続きを読む

症例 No.017

20代 / 右側の八重歯をなんとかしたい
不正咬合の種類
叢生(乱ぐい歯・八重歯)
矯正装置
インビザライン
大人 / 子ども
大人の矯正
続きを読む

症例 No.016

10代 / 受け口(Ⅰ期が終了し、Ⅱ期に移行時の状態)
不正咬合の種類
下顎前突(受け口)
矯正装置
インビザライン
大人 / 子ども
大人の矯正
続きを読む

症例 No.015

上顎前突
不正咬合の種類
上顎前突(出っ歯)
矯正装置
インビザライン
大人 / 子ども
大人の矯正
続きを読む

症例 No.014

40代 / 前歯部叢生
不正咬合の種類
叢生(乱ぐい歯・八重歯)
矯正装置
インビザラインGo
大人 / 子ども
大人の矯正
続きを読む

症例 No.013

10代 / 重度の開咬と受け口の難症例
不正咬合の種類
下顎前突(受け口)開咬(オープンバイト)
矯正装置
インビザライン
大人 / 子ども
大人の矯正
続きを読む

症例 No.012

10歳未満 / 前歯がガタガタで生えるスペースがないので将来の歯並びが心配
不正咬合の種類
空隙歯列(すきっ歯)叢生(乱ぐい歯・八重歯)
矯正装置
表側ワイヤー
大人 / 子ども
子供の矯正大人の矯正
続きを読む

症例 No.011

20代 / 前歯の叢生
不正咬合の種類
叢生(乱ぐい歯・八重歯)
矯正装置
インビザライン
大人 / 子ども
大人の矯正
続きを読む

症例 No.010

10代 / 前歯の深咬み・側切歯の唇側転移・下顎前歯1本欠損
不正咬合の種類
過蓋咬合(ディープバイト)
矯正装置
インビザライン
大人 / 子ども
大人の矯正
続きを読む

症例 No.009

10歳未満 / 上顎の叢生、下顎前歯2本欠損、左上4埋伏
不正咬合の種類
叢生(乱ぐい歯・八重歯)
矯正装置
表側ワイヤー
大人 / 子ども
大人の矯正子供の矯正
続きを読む

症例 No.008

10代 / 叢生・上顎前突・過蓋咬合
不正咬合の種類
過蓋咬合(ディープバイト)上顎前突(出っ歯)叢生(乱ぐい歯・八重歯)
矯正装置
表側ワイヤー
大人 / 子ども
大人の矯正
続きを読む

症例 No.007

10代 / 叢生
不正咬合の種類
叢生(乱ぐい歯・八重歯)
矯正装置
表側ワイヤー
大人 / 子ども
大人の矯正
続きを読む

症例 No.006

10代 / 叢生・交叉咬合
不正咬合の種類
叢生(乱ぐい歯・八重歯)交叉咬合(クロスバイト)
矯正装置
表側ワイヤー
大人 / 子ども
大人の矯正
続きを読む

症例 No.005

20代 / 出っ歯が気になる、口が閉じにくい
不正咬合の種類
上顎前突(出っ歯)開咬(オープンバイト)
矯正装置
表側ワイヤー
大人 / 子ども
大人の矯正
続きを読む

症例 No.004

20代 / 空隙歯列・過蓋咬合
不正咬合の種類
過蓋咬合(ディープバイト)空隙歯列(すきっ歯)
矯正装置
インビザライン
大人 / 子ども
大人の矯正
続きを読む

症例 No.003

10代 / 叢生・交叉咬合
不正咬合の種類
叢生(乱ぐい歯・八重歯)
矯正装置
インビザライン
大人 / 子ども
大人の矯正
続きを読む

症例 No.002

20代 / 叢生・交叉咬合
不正咬合の種類
叢生(乱ぐい歯・八重歯)交叉咬合(クロスバイト)
矯正装置
インビザライン
大人 / 子ども
大人の矯正
続きを読む

症例 No.001

10代 / 叢生・上顎前突
不正咬合の種類
叢生(乱ぐい歯・八重歯)上顎前突(出っ歯)
矯正装置
インビザライン
大人 / 子ども
大人の矯正
続きを読む