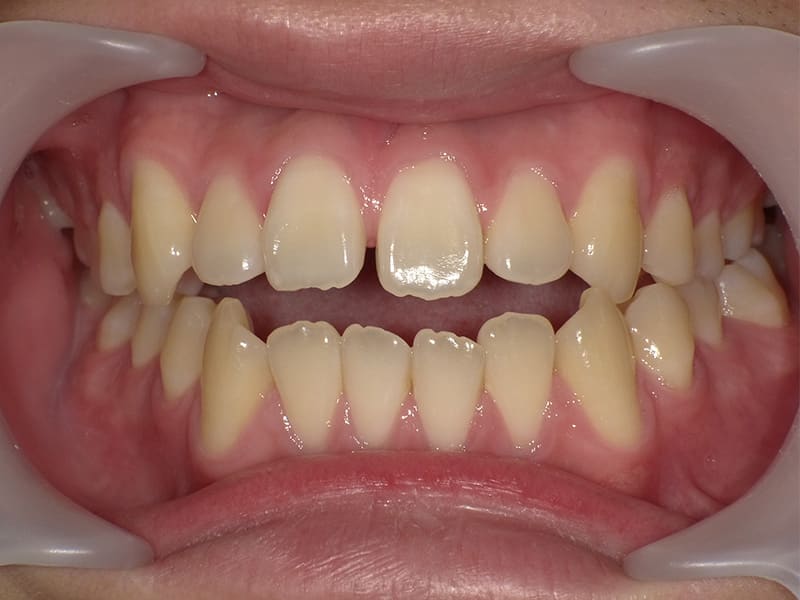
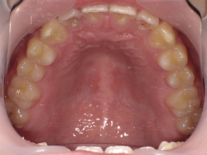
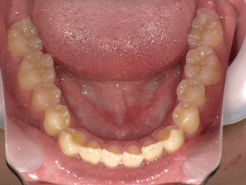
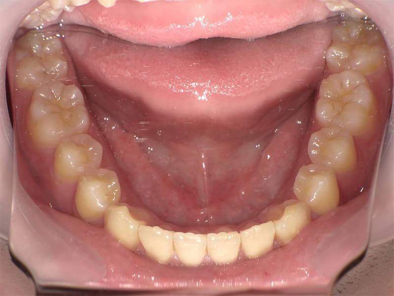
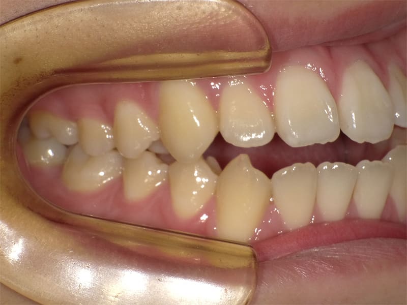
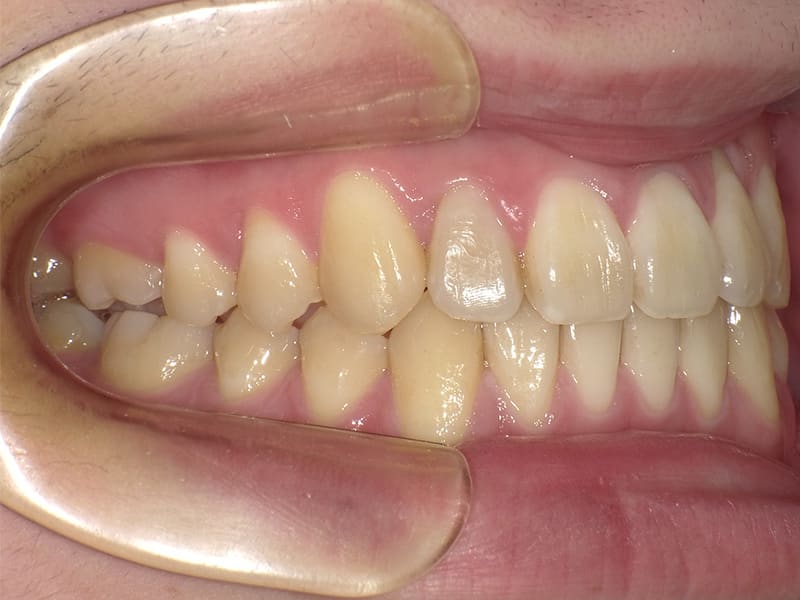
症例 No.02120代 / 開咬
Before

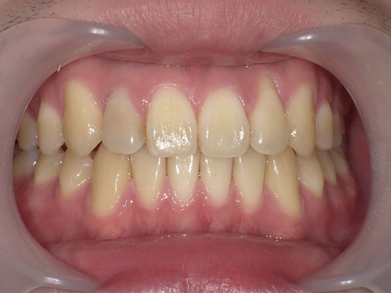
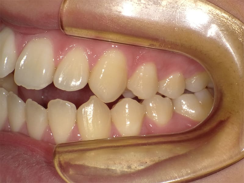
After

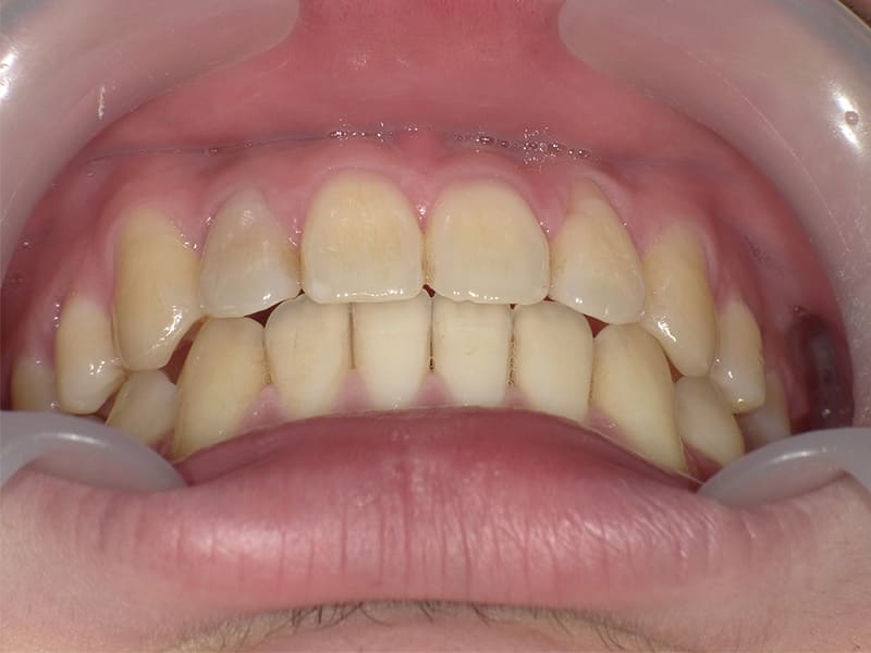
Before

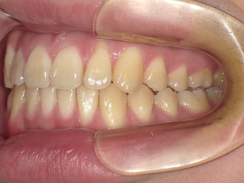
After

Before

After

Before

After

Before

After

Before

After

※治療結果は、患者様によって個人差があります。
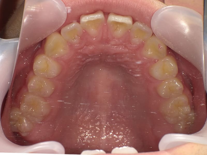
| 主な症状 | 開咬 |
| 年代 | 20代 |
| 矯正装置 | インビザライン |
| 動的治療期間 | 当初予定:36ヶ月、実際の期間:24ヶ月 |
| 抜歯の有無 | なし |
| 費用 | 1023,000円 税込 (精密検査・診断料 38,500円 税込、矯正費用 984,500円 税込) ※治療当時の費用 |
| 想定リスク等 | 開咬は舌の癖などが原因となることが多く、治療に時間がかかる場合があります。 その他、矯正治療全般に共通する代表的な虫歯、歯周病、歯根吸収、後戻りなどのリスクがあります。 |

ドクターコメント
マウスピース矯正は、ワイヤー矯正に比べて開咬が改善しやすい特徴があります。今回のケースでも、2回の治療で終了することができました。ワイヤー矯正であれば矯正用インプラントを使用するなど、治療が複雑化する可能性がありました。マウスピース矯正の良さがよく表れた症例です。
江口矯正歯科クリニック
歯科医師 / 江口 公人
江口矯正歯科クリニックの
無料初診相談を
ご利用ください。
ご自身の歯並びや矯正治療に関する
疑問や不安を解消する場として
お気軽にご活用ください。


